loading

Implant Prosthesis

Implant Prosthesis

Providing Dental Professionals

Vatech Dental Lab is committed to providing dental professionals with a state-of-the-art & cost-effective implant prosthesis. Our team of expert implant specialists are well trained, skilled, and experienced to assist you right from case design, case plan, and case estimate to the final delivery of the prosthesis. We believe that prosthetic-driven implant placement is the key to successful implant treatment. VDL is a one-stop shop for all implant restorations. We have a range of implant prosthetic solutions for you: Implant-supported crowns and bridges, milled custom abutments in Titanium & Zirconia, screw-retained crowns, Paulo Malo bridges, Healing Abutments, etc.

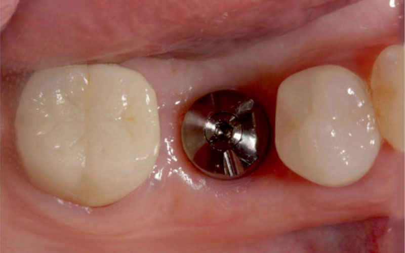
Vatech Custom Abutment

For Implant Treatment

Stock Abutments of Different Implants systems do not always meet the specific requirement in terms of shape, size, and angulation. To Get the most possible result for the final restoration, a customized abutment would give the best result. Custom abutments can be milled in full Titanium or in Zirconia with a titanium connection base. Custom abutments are just such an advancement. Their advantages, including patient-specific soft tissue management during the healing phase & final restorations that adhere precisely to the patient’s gingival architecture, make them an excellent option for implant treatment.

Screw Retained Implant Zr Crown

For Implant Treatment

Screw-retained implant crowns are crowns jointly anchored with their abutments in the implant (artificial root canal) by means of a thorough bolt, unlike cement-retained crowns, which are glued onto the abutments, which in turn are  anchored in the artificial root canal by means of screws

Paulo Malo Bridge

All-on-4 Treatment Concept

The All-on-4 treatment concept was developed by Paulo Malo with straight and angled multi-unit abutments, to provide edentulous patients with an immediately loaded full-arch restoration with only four implants. Two placed vertically in the o anterior region and two placed up to an angle of 45 in the posterior region. Malo bridge with customization of abutment can establish a precise patient’s gingival architecture. It is the most aesthetically advanced form of fixed prosthodontic rehabilitation for complete and partially edentulous patients.

Vatech Customized Healing Abutment

Soft & Hard Tissue Healing

A healing abutment, also known as a healing cap or gingival former, can help promote soft & hard tissue healing around an implant. The healing cap also protects the main part of the implant from plaque & debris accumulations. It is often fitted on top of the implant. It is slightly wider than the implant to help shape the gum line. It is advisable not to reuse them. One of the main reasons is that the recreation of the surface of a new abutment is not feasible even with sterilization. Sterilization can also change the initial composition of the titanium surface, which makes the product less effective. Sometimes cleaning may damage the healing cap implant screws. This can make it hard to fix it tightly in an implant.