IPS Emax
Lithium Disilicate Glass-ceramic
IPS Emax Press is an innovative lithium disilicate glass-ceramic ingot for press technology. These frameworks are then layered by our technicians with excellent craftsmanship.
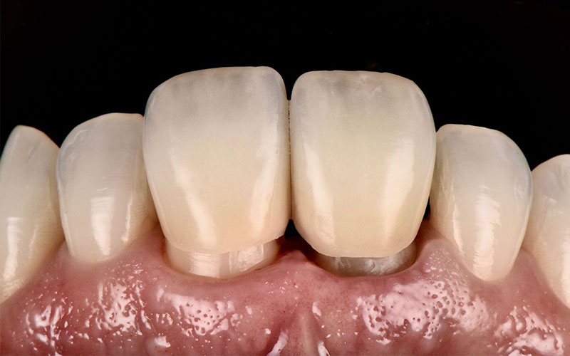
Veneers
Prosthetic Dentistry For Teeth
Veneers are made to fulfill the requirements of prosthetic dentistry for teeth with minimal preparation. The minimal invasive veneers are extremely thin when compared to traditional veneers, and are simply bonded on the tooth surface. With Veneers, the removal of sensitive Tooth structure can be avoided in certain cases for a smile enhancement.
Benefits
- Highly aesthetic
- Biocompatible
- Good fit and high retention
- Marginal adaptation is perfect
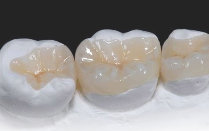
Inlay Onlay
Work Similarly To Crowns
An inlay fills in cavities & hollows in a tooth in the areas between the cusps. An onlay will not just fill in cavities in those spaces, but it can work for a larger area, including the cusps. They work similarly to crowns, but they do not cover the entire surface of the tooth. They are both made from the same materials, & they both serve the same function, but they cover different areas of the tooth to properly protect when there is tooth decay.
Benefits
- Inlays & Onlays are useful because they preserve as much natural tooth as possible. This makes cleaning easier.
- Some fillings such as composite and traditional fillings may shrink with time. Inlays and Onlays don't shrink, extremely durable and stable.